Carotid Artery Ligation
Induced vascular injury models in mice have seen increased attention due to contributions of smooth muscle, endothelial, inflammatory, as well as other circulating cells leading to vascular remodeling. This remodeling creates restrictions (neointima or intimal hyperplasia) of oxygenated blood flow to critical organs and to survival. Becoming a major cause of morbidity and mortality in cardiovascular disease patients. Performing reproducible arterial injury in the mouse model, has led the way for vascular remodeling studies, controlling vascular smooth muscle cell behavior in response to injury utilizing genetically modified mice.
Multiple Design Models For your Specific Needs
Partial carotid artery ligation involves ligating all distal branches of the left carotid artery except the superior thyroid artery, creating a low-flow state with commensurate vascular remodeling over 2 or more weeks
- Ligation of External Carotid Artery
- Ligation of Internal Carotid Atrery
- Restriction of Common Carotid Artery up to 90%
- Partial Left carotid artery ligation, ligating all distal branches except the superior thyroid artery creating a low-flow state with vascular remodeling spanned over 2 or more weeks
- Others as requested
- Wire Myography
Quantification of Flow:
- VisualSonics Vivo 2100 imaging System cardiac echo
- Micron-scale computed tomography (Micro CT/Micro PET)
- Histological analysis
Carotid Artery Vascular Remodeling Models
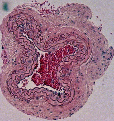
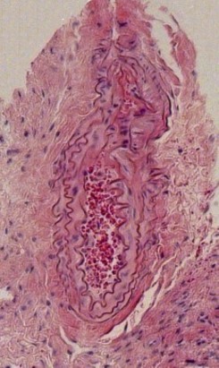
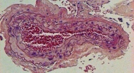
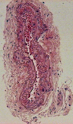
H&E (Haemotoxylin and Eosin) Staining
Ligation of Right External Carotid Artery Day-3 Post Procedure
Day-7 Post Procedure Day-14 Post Procedure Day-21 Post Procedure
