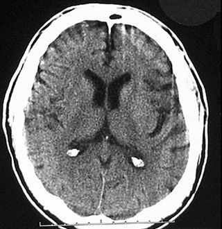
Do you see any abnormality here?