Research
Translational Research
Gene therapy for chronic venous disease

Stent placement is a suboptimal mechanical solution to chronic venous disease. We are doing translational research using a sheep model to study potential gene therapy strategies to minimize post-thrombotic venous changes and ameliorate the downstream quality-of-life complications.
-
- Grant: Radiological Society of North America (RSNA) Research Scholar Grant, 2025-2027.
- Reference: Li, N., Ferracane, J., Andeen, N., Lewis, S., Woltjer, R., Rugonyi, S., Jahangiri, Y., Uchida, B., Farsad, K., Kaufman, J.A. and Al-Hakim, R.A., 2022. Endovascular Venous Stenosis and Thrombosis Large Animal Model: Angiographic, Histological, and Biomechanical Characterizations. Journal of vascular and interventional radiology: JVIR, 33(3), pp.255-261. https://doi.org/10.1016/j.jvir.2021.10.036
Clinical trial
Argon CLEAN-PE

We are participating in this prospective, multicenter, study to evaluate the safety and efficacy of an aspiration thrombectomy system in acute pulmonary embolism. Patients presenting with symptoms of acute PE who meet study entry criteria are eligible for this study. Acute PE is defined as having clinical signs and symptoms for 14 days or less with an RV/LV ratio of >0.9 on CT angiography and systolic BP ≥90 mmHg. Enrolled subjects will be treated with the Cleaner Pro Thrombectomy System as the first and primary thrombectomy device and then followed for 30 days.
-
- Sponsor: Argon Medical Inc.
- Reference: Al-Hakim, R., Li, N., Nonas, S., Zakhary, B., Maughan, B., Schenning, R., Farsad, K. and Kaufman, J.A., 2020. Evaluation and Management of Intermediate and High-Risk Pulmonary Embolism. AJR. American journal of roentgenology, 214(3), pp.671-678. https://doi.org/10.2214/AJR.19.21861
Clinical research
Neuromodulation

We use cryoneurolysis techniques to manage complex pain and autonomic disorders. Key areas include stellate ganglion ablation for refractory ventricular arrhythmias and PTSD, along with celiac plexus/splanchnic nerve cryoneurolysis for abdominal pain in chronic pancreatitis and pancreatic cancer, complemented by other targeted nerve interventions.
-
- Reference: Li, N., Kim, J., Patel, A.M., Markham, D.W., Tompkins, C.M., Rahban, Y., Stokken, G., Gottbrecht, M., Prologo, F.J. and Resnick, N.J., 2024. CT-guided Left Stellate Ganglion Cryoneurolysis for Refractory Ventricular Arrhythmias. Radiology, 313(3), p.e240587. https://doi.org/10.1148/radiol.240587
Computational/Biomedical Engineering
Venous fluid dynamics
Our research utilizes advanced flow imaging and computational fluid dynamics modeling to map complex blood flow patterns in healthy, diseased, and stented veins. We aim to uncover how chronic venous disease and interventions like stent placement alter hemodynamics, providing critical insights to optimize treatments for conditions like iliac vein compression (May-Thurner) syndrome and post-thrombotic sequelae.
-
- Reference: Li, N., Ferracane, J., Andeen, N., Lewis, S., Woltjer, R., Rugonyi, S., Jahangiri, Y., Uchida, B., Farsad, K., Kaufman, J.A. and Al-Hakim, R., 2022. Impact of Postthrombotic Vein Wall Biomechanics on Luminal Flow during Venous Angioplasty and Stent Placement: Computational Modeling Results. Journal of vascular and interventional radiology: JVIR, 33(3), pp.262-267. https://doi.org/10.1016/j.jvir.2021.12.006
Other projects
Venous thrombi characterization

There is a significant knowledge gap in our understanding of the mechanical properties of venous clots, especially at chronic timepoints. We have obtained IRB and IBC approvals to collect PE and DVT venous clots for comprehensive characterization in the hopes of developing new thrombectomy approaches and laboratory analogs for device testing.
Renal upper pole lesion ablations

Renal upper pole lesions are theorized to be more difficult to ablate and potentially with lower rates of disease control and higher risks of complications. We are doing a retrospective chart review project to demonstrate that ablations of renal upper pole lesions are just as safe and effective.
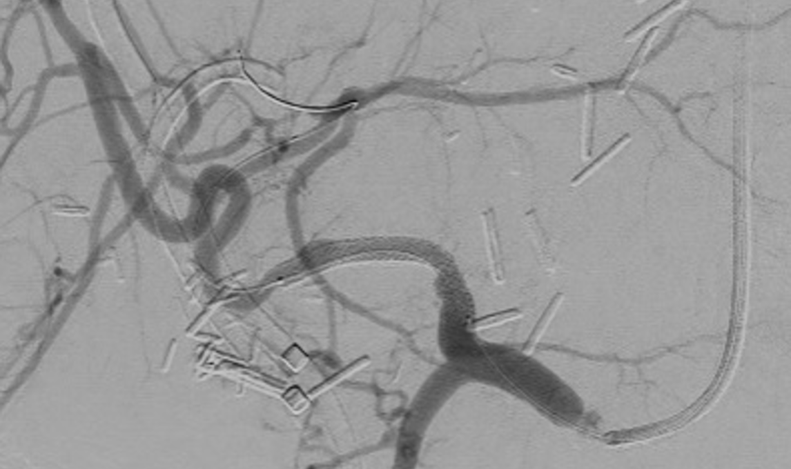
TIPS in patients with HCC

HCC is a relative contraindication to TIPS given theorized risks of metastatic spread to the lungs. We are doing a retrospective chart review project to clarify this clinical controversy.
TheraSphere versus SirSphere Y90

There is growing literature suggesting that particle density is the underlying factor for disease control in patients with HCC undergoing Y90 treatment. We are doing a retrospective chart review of our institutional experience to add to the literature.
DEB stent in distal transplant hepatic artery

Distal transplant artery stenosis is only recently amenable to endovascular treatment due to the development of flexible stent deployment platform. This study assesses the safety and efficacy of primary drug-eluting stent (DES) placement for severe distal hepatic artery stenosis in liver transplant patients across two tertiary centers.
TIPS database at UMass Chan

TIPS is a potentially life altering procedure for patients with chronic liver disease and associated portal hypertension. We are keeping a TIPS database of all patients here at UMass Chan who have undergone a TIPS procedure for QA and clinical outcome research projects.
PE database at UMass Chan

Mechanical thrombectomy offers acute resuscitation and long-term quality of life improvements for our patients with PE. We are keeping a PE database of all patients here at UMass Chan who have undergone a mechanical thrombectomy procedure for translational and clinical outcome research projects.