Search Close Search
Search Close Search
Page Menu

Nandadasa Primary Cilia and Extracellular Matrix Lab

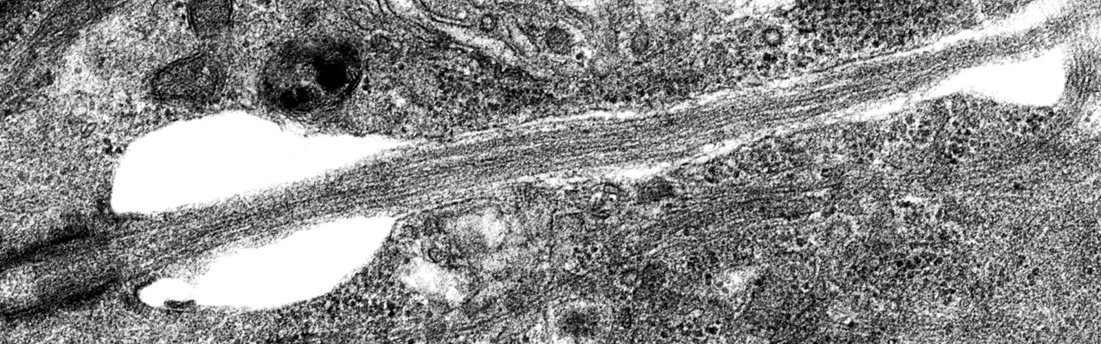
The research in the Nandadasa laboratory is focused on understanding the function of extracellular matrix proteases belonging to the ADAMTS family of metalloproteinases in embryonic development and in disease. Specifically, we investigate a group of developmental birth defects known as ciliopathies that arise by the dysgenesis of the primary cilium, a crucial antenna-like cellular organelle, present in nearly all cells. ADAMTS proteases (A disintegrin and metalloproteinase with thrombospondin type 1 motifs), are secreted molecules mainly known to act on the extracellular matrix. In paradigm-shifting discoveries we have shown that ADAMTS9 and ADAMTS20 are endocytosed and recycled to the ciliary vesicle in Rab11+ vesicles and that they play crucial proteolytic functions leading to primary cilia formation. ADAMTS9 mutations cause nephronophthisis (NPHP) and Joubert syndrome (JBTS), two devastating ciliopathies which are diagnosed in young children and infants.  Adamts9 and Adamts20 mutant mice available to us manifest severe embryonic defects resembling human ciliopathies and provide valuable disease models. The goals of our research are to:

  1. Identify the cellular and molecular mechanisms of how metalloproteinases regulate ciliogenesis and
  2. Discover novel extracellular matrix and non-matrix substrates involved in disease onset and pathogenesis. These studies will provide crucial and necessary knowledge to treat pathological conditions associated with ciliopathies and ECM accumulation. We utilize cutting edge tools in super-resolution and electron microscopy, CRISPR based gene targeting, organoid based disease modeling and genetic mouse knockouts and high-resolution proteomics approaches in our quest. We investigate multiple organs and embryonic birth defects of interest as outlined in the research projects.