Letter of Praise
Drs. Alan Goldstein and Andrew Bennett
Date Posted: Monday, November 21, 2016![]() |
![]() |
| Dr. Andrew Bennett | Dr. Alan Goldstein |
Hi,
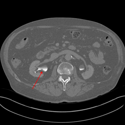
Thanks to Dr.s Goldstein and Bennett for picking up the subtle R renal collecting system abn on the vascular CT- my resident and I struggled to see these filling defects they were so subtle.
We just took him to OR- he indeed had a tumor in the renal pelvis. We ablated with laser- there is a relatively high likelihood it will recur – but will attempt conservative therapy with laser ablation/surveillance to avoid need for nephrectomy (history CRI).
Had this lesion been missed on the CT no doubt the tumor would have grown undetected (he had zero symptoms) until it was too large to ablate.
Thanks
Jen
Jennifer Yates, M.D.
Assistant Professor, Department of Urology
Urology Residency Program Director
UMass Chan Medical School
UMMHC



