LDCT Lung Cancer Screening Program
Cardiothoracic Imaging Division Chief Alexander A. Bankier, MD, PhD led the effort to make UMass Memorial a leader in low-dose computer tomography lung cancer screening, the program is a designated Lung Cancer Screening Center, accredited by the American College of Radiology. Our program allows for the proactive and safe screening of patients for lung cancer, starting with a baseline screening for patients who have been identified as being at risk for developing lung cancer. These patients then return for annual follow-up screenings to detect any changes, unless concerning findings are detected.
Low-dose Computed Tomography Lung Cancer Screening Program at UMass
Lung cancer is the number-one cancer killer in America, taking more lives than colon, breast and prostate cancer combined. Every year, 200,000 Americans are diagnosed with lung cancer and 160,000 die from it. However, early detection of lung cancer can increase the five-year survival rate for stage 1 lung cancer to nearly 90%.
CT (left) and PET-CT (right) image of a small peripheral and clinically asymptomatic
lung cancer detected on a baseline lung cancer screening examination. The cancer
was resected via minimally-invasive surgery and the patient is now
free of cancer and doing well.
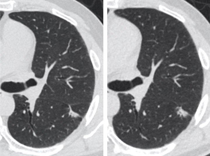
Small peripheral lung cancer seen on the baseline screening CT examination (left)
and on a 3-month follow-up CT (right) within the CT lung cancer screening program.
Because the original nodule had grown on follow-up, it was resected via
minimally-invasive surgery. No additional therapy was needed, the patient is doing well.

The LDCT Lung Cancer Screening Program at UMass provides screening to patients who are at risk for developing lung cancer. Through low-dose computed tomography (LDCT) examinations, we can proactively and safely screen patients for this disease.
LDCT lung cancer screening is the first and only cost-effective test proven to detect lung cancer at an early stage, which can result in a better chance of survival for patients. LDCT lung cancer screening at UMass is performed with a low dose of radiation and has minimal risk for the patient. The LDCT examination does not require the use of contrast and the examination is completed within 10 minutes.
UMass is a pioneer in LDCT lung cancer screening and our program is a designated lung cancer screening center accredited by the American College of Radiology. Our program offers a unique clinical service line, including proactive patient management and comprehensive information for referring physicians.
