Search Close Search
Page Menu

Recent Publications

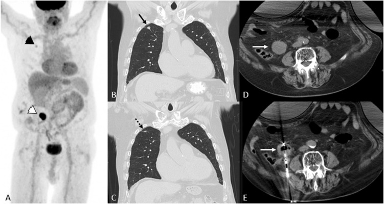
Imaging response assessment figureImaging response assessment for oncology: An algorithmic approach
Kathleen Ruchalskia, Rohit Dewana, Victor Saia, Lacey J.McIntosh, MartaBraschi-Amirfarzanc. Dr. Lacey McIntosh co-authored a paper with other cancer imagers from UCLA and Lahey/Tufts on an algorithmic approach for imaging response assessment in oncology patients that was just published in the European Journal of Radiology Open!

IR oncology updateInterventional oncology update
Alex Newbury, Chantal Ferguson, Daniel Alvarez Valero, Roberto Kutcher-Diaz, Lacey McIntosh, Ara Karamanian, Aaron Harman. A review paper titled “Interventional Oncology Update” authored by a UMass group of radiologists was just published in the European Journal of Radiology Open as part of the Special Issue on “What’s New in Cancer Imaging”. Radiology resident Alex Newbury, MD, (PGY3) is lead author on the paper and Aaron Harman, MD attending from Interventional Radiology is the senior author. Other UMass co-authors include Chantal Ferguson, MD/PhD candidate (2023), Daniel Alvarez Valero, MD (PGY5), Roberto Kutcher-Diaz, MD (PGY6), and Lacey J. McIntosh, DO, MPH (attending, Oncologic and Molecular Imaging Division). We collaborated with Ara Karamanian, MD from the Prostate Laser Center in Houston, TX.

Super large-bore ingestion of clot (SLIC) leads to high first pass effect in thrombectomy for large vessel occlusion
June 22, 2022. Author(s): Francesco Massari, Guilherme Dabus, Gustavo M. Cortez, Jasmeet Singh, Anna L. Kuhn, Varun Naragum, Vania Anagnostakou, Ricardo A. Hanel, Matthew J. Gounis, Ajit S. Puri. Source: Journal of neurointerventional surgery

Interventional oncology update
June 20, 2022. Author(s): Alex Newbury, Chantal M. Ferguson, Daniel Alvarez Valero, Roberto Kutcher-Diaz, Lacey J. McIntosh, Ara Karamanian, Aaron Harman. Source: European journal of radiology open

Clinical Diagnoses and Outcomes After Diagnostic Breast Ultrasound by Nurses and General Practitioner Physicians in Rural Rwanda
June 20, 2022. Author(s): Lydia E. Pace, Jean-Marie Vianney Dusengimana, Vedaste Hategekimana, Vestine Rugema, Aline Umwizerwa, Elisabeth Frost, Dylan Kwait, Lauren E. Schleimer, ChuanChin Huang, Cyprien Shyirambere, Jean Bosco Bigirimana, Lawrence N. Shulman, Tharcisse Mpunga, Sughra Raza. Source: Journal of the American College of Radiology

Imaging response assessment for oncology: An algorithmic approach
June 07, 2022. Author(s): Kathleen Ruchalski, Rohit Dewan, Victor Sai, Lacey J. McIntosh, Marta Braschi-Amirfarzan. Source: European journal of radiology open

Correlation of von Willebrand factor and platelets with acute ischemic stroke etiology and revascularization outcome: an immunohistochemical study
May 20, 2022. Author(s): Oana Madalina Mereuta, Matthew J. Gounis, Ajit S. Puri. Source: Journal of neurointerventional surgery

Dual gating myocardial perfusion SPECT denoising using a conditional generative adversarial network
May 08, 2022. Author(s): Jingzhang Sun, Qi Zhang, Yu Du, Duo Zhang, P. Hendrik Pretorius, Michael A. King, Greta S. P. Mok. Source: Medical physics

Intravascular lithotripsy for severely calcified carotid artery stenosis - A new frontier in carotid artery stenting
May 03, 2022. Author(s): Jasmeet Singh, Anna L. Kuhn, Francesco Massari, Marwa Elnazeir, Roberto Kutcher-Diaz, Ajit S. Puri. Source: Interventional neuroradiology

Retreatment of Residual and Recurrent Aneurysms After Embolization With the Woven EndoBridge Device: Multicenter Case Series
May 01, 2022. Author(s): Visish M. Srinivasan, Ajit S. Puri, Francesco Massari, Peter Kan. Source: Neurosurgery

Acute ischaemic stroke associated with SARS-CoV-2 infection in North America

April 01, 2022. Author(s): Adam A. Dmytriw, Anna L. Kuhn, Ajit S. Puri. Source:Journal of neurology, neurosurgery, and psychiatry
 

Traumatic Intracranial Hemorrhage on CT After Ground-Level Fall in Adult Patients on Antithrombotic Therapy: A Retrospective Case-Control Study

March 23, 2022. Author(s): Zeynep Vardar, Hao S. Lo, Matthew Mariyampillai, Hemang M. Kotecha. Source: AJR. American journal of roentgenology
 

Novel Oxygen Carrier Slows Infarct Growth in Large Vessel Occlusion Dog Model Based on Magnetic Resonance Imaging Analysis

March 21, 2022. Author(s): Mohammed S. Shazeeb, Robert M. King, Vania Anagnostakou, Zeynep Vardar, Afif M. Kraitem, Josephine Kolstad, Christopher M. Raskett, Natacha Le Moan, Jonathan A. Winger, Lauren Kelly, Ana Krtolica, Nils Henninger, Matthew J. Gounis. Source: Stroke
 

Interacting-heads motif explains the X-ray diffraction pattern of relaxed vertebrate skeletal muscle

March 19, 2022. Author(s): Natalia A. Koubassova, Andrey K. Tsaturyan, Sergey Y. Bershitsky, Michael A. Ferenczi, Raul A. Padron, Roger W. Craig. Source: Biophysical journal
 

Teaching cancer imaging in the era of precision medicine: Looking at the big picture

March 15, 2022. Author(s): Christopher N. Chin, Ty Subhawong, James Grosso, Jeremy R. Wortman, Lacey J. McIntosh, Ryan Tai, Marta Braschi-Amirfarzan, Patricia Castillo, Francesco Alessandrino. Source: European journal of radiology open
 

Prospective study on embolization of intracranial aneurysms with the pipeline device (PREMIER study): 3-year results with the application of a flow diverter specific occlusion classification

March 15, 2022. Author(s): Ricardo A. Hanel, Ajit S. Puri. Source: Journal of neurointerventional surgery
 

Characteristics of a COVID-19 Cohort With Large Vessel Occlusion: A Multicenter International Study

March 07, 2022. Author(s): Pascal Jabbour, Anna L. Kuhn, Ajit S. Puri. Source: Neurosurgery
 

Flow Diverter Reconstruction of Internal Carotid Artery (Loop) Dissections with or without Associated Pseudoaneurysms

February 22, 2022. Author(s): Anna L. Kuhn, Jasmeet Singh, Francesco Massari, Katyucia de Macedo Rodrigues, Matthew J. Gounis, Ajit S. Puri. Source: World neurosurgery
 

Imaging Net Retrograde Axonal Transport In Vivo: A Physiological Biomarker

February 17, 2022. Author(s): Pin-Tsun Justin Lee, Zachary C. Kennedy, Yuzhen Wang, Yimeng Lu, Carolina Cefaliello, Ozgun Uyan, Chun-Qing Song, Bruno M. D. C. Godinho, Zuoshang Xu, Mary Rusckowski, Wen Xue, Robert H. Brown Jr. Source: Annals of neurology
 

Histological composition of retrieved emboli in acute ischemic stroke is independent of pre-thrombectomy alteplase use

February 17, 2022. Author(s): Waleed Brinjikji, Matthew J. Gounis, Ajit S. Puri. Source: Journal of stroke and cerebrovascular diseases: the official journal of National Stroke Association