Research
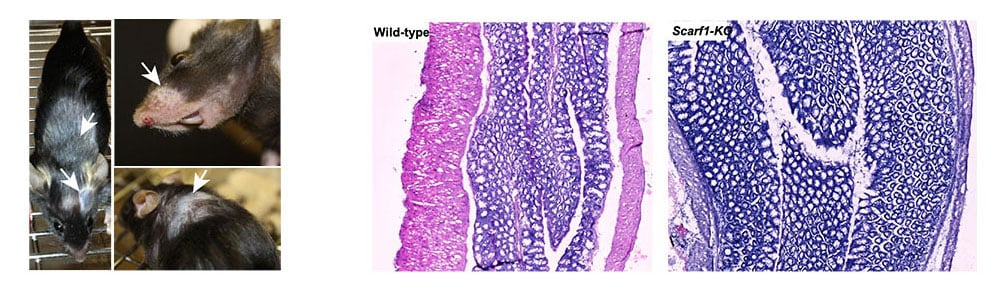
The Ramirez-Ortiz lab focuses on understanding the role of mammalian Scavenger Receptors (SR), Toll-like Receptors (TLRs) and Triggering Receptor expressed on Myeloid Cells (TREM) in innate immune responses to a myriad of danger molecules derived from foreign and self-host sources. Specifically, we study the role and molecular mechanism of this receptor in the clearance of apoptotic cells. Failure of this essential process leads to the accumulation of apoptotic cells. Therefore, impaired apoptotic cell uptake results in the loss of immune self-tolerance and development of Systemic Lupus Erythematosus.

We use a translational approach with mouse models and human patient samples to characterize the molecular mechanisms of AC removal, and to reveal novel biomarkers and identify new potential therapeutic strategies. A better understanding of all the processes required for effective cellular debris removal will most likely present new targets not only for lupus but for many autoimmune, metabolic, and infectious diseases.
